espa logo

DNA damage in macrophages drives immune autoreactivity via nuclear antigen presentation | News

News
Home > News
28.01.2026

DNA damage in macrophages drives immune autoreactivity via nuclear antigen presentation

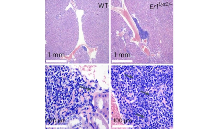
Researchers at IMBB-FORTH and the University of Crete show that DNA damage in macrophages triggers immune autoreactivity during aging. Defective DNA repair activates autophagy, leading to MHC-II presentation of nuclear antigens and induction of polyclonal T-cell responses and antinuclear autoantibodies. Aged macrophages display a similar nuclear antigen presentation profile, linking DNA damage to age-associated immune dysregulation. Inhibiting autophagy suppresses autoimmune features, identifying a potential therapeutic strategy to limit age-related autoimmunity.