Highlights
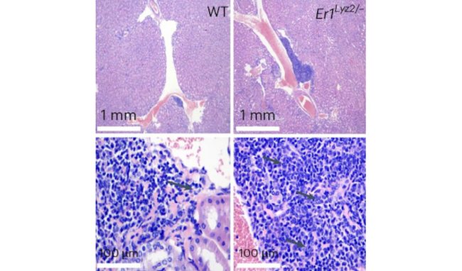
View all HighlightsDNA damage in macrophages drives immune autoreactivity via nuclear antigen presentation
Researchers at IMBB-FORTH and the University of Crete show that DNA damage in macrophages triggers immune autoreactivity during...
more...ALBUMIN: The most abundant human blood protein acts as a shield against deadly fungal infections
Scientists at the Institute of Molecular Biology and Biotechnology (IMBB-FORTH) and the University of Crete, together with collaborators...
more...[Nature] [Press Release]
A novel carboxylesterase drives insecticide cross resistance in the malaria mosquito
IMBB researchers collaborating with LSTM, UK, applied a predictive chemoproteomic framework with activity-based protein profiling, identified and functionally...
more...Dendritic plasticity links memories across time
How does the brain weave together subsequent memories? In a new Nature Neuroscience study, UCLA, Ohio State and...
more...Artificial neural networks with dendrites: a possible solution for modern, energy-hungry, AI systems
IMBB researchers introduce a new type of artificial neural networks that incorporate characteristics of biological dendrites and can...
more...Activity-dependent K+ hotspots selectively boost the dendritic excitability of neurons, acting as 'volume knobs'
An international collaboration between scientists from IMBB, University of Copenhagen in Denmark and University of Bordeaux in France...
more...Distinct trafficking routes of polarized and non-polarized membrane cargoes in Aspergillus nidulans
In a study published in eLIFE Diallinas team established a genetic system to show the existence of distinct...
more...Seed longevity is controlled by metacaspases
IMBB researchers uncover the crucial role of a novel proteolytic pathway with metacaspases in maintaining protein homeostasis...
more...News
View all NewsDimitris Tzeranis, Assistant Professor of the Department of Materials Science and Engineering, University of Crete, joins IMBB as a collaborating faculty member
Dimitrios Tzeranis is an Assistant Professor at the Department of Materials Science and Engineering, University of Crete. His group focuses on studying interactions between cells and 3D matrices, and developing...
25.02.2026
New Director of the Institute of Molecular Biology and Biotechnology of FORTH
Professor Ioannis Vontas was unanimously re-elected Director of the Institute of Molecular Biology and Biotechnology (IMBB) of FORTH, on December 12, 2025. (Official Government Gazette (FEK): 129_ΥΟΔΔ_10.2.2025).The election...
19.02.2026
Professor Nektarios Tavernarakis is honoured with the FEBS Datta Medal at the 50th FEBS Congress that will take place in Maastricht, The Netherlands
The Federation of European Biochemical Societies (FEBS) is one of Europe’s largest organizations in the Molecular Life Sciences, with over 30,000 members across 39 Biochemistry and Molecular Biology societies, in...
16.02.2026
ALBUMIN: The most abundant human blood protein acts as a shield against deadly fungal infections
Scientists at the Institute of Molecular Biology and Biotechnology (IMBB-FORTH) and the University of Crete, together with collaborators from Greece, Europe, the USA, and India, have discovered a novel role...
13.01.2026
Seminars
View all SeminarsIMBB Seminar
"The Geography of Gene Function: Spatial constraints in gene expression and regulation in eukaryotic genomes"
Christoforos NIKOLAOU
Institute of Bioinnovation
Biomedical Sciences Research Center “Alexander Fleming”
Athens, Greece
https://computational-genomics.weebly.com
Mar 04, 2026 @ 16:30
Seminar Room "A. Payatakes", FORTH’s bldg
Host: A. Pittis
IMBB Seminar
"A Neural Model for V1 That Incorporates Dendritic Nonlinearities and Backpropagating Action Potentials"
Dr. Marcelo BERTALMIO
Senior Research Scientist,
Spanish National Research Council (CSIC)
https://www.io.csic.es/marcelo-bertalmio/
Feb 26, 2026 @ 15:00 - 16:00
Seminar Room 1 "Costas Fotakis”, FORTH’s bldg
Host: P. Poirazi
IMBB Colloquium
"Bioengineering Systems & Devices Based on Porous Scaffolds"
Dimitris TZERANIS
Assistant Professor, Department of Materials Science and Engineering,
University of Crete
Collaborating faculty member IMBB-FORTH
Feb 20, 2026 @ 13:00 - 14:00
Seminar Room 1 "Costas Fotakis”, FORTH’s bldg
IMBB Seminar
"Super Mario Bros. as a total laboratory for studying cognition in brains and machines"
Dr. Yann HAREL
Department of Physiology, Anatomy and Genetics (DPAG), University of Oxford,
Centre de Recherche de l'Institut Universitaire de Gériatrie de Montréal (CRIUGM),
Université de Montréal
Feb 20, 2026 @ 10:00
Seminar Room 1 "Costas Fotakis”, FORTH’s bldg
Host: E. Froudarakis
IMBB Seminar
"Prefrontal cortex and conscious visual perception"
Fanis PANAGIOTAROPOULOS
University of Athens (ass. prof. of Cognitive Neuroscience)
Biomedical Research Foundation of the Academy of Athens (affiliated investigator)
Cognitive Neuroscience Research Institute, University of Athens
Feb 17, 2026 @ 12:00 - 13:00
Seminar Room 1 "Costas Fotakis”, FORTH’s bldg
Host: E. Froudarakis
IMBB Colloquium
"Mapping non-equilibrium protein energy landscapes"
Alexis MOLFETAS-LYGKIARIS
PostDoctoral Researcher,
Gouridis Lab
Feb 13, 2026 @ 13:00 - 14:00
Seminar Room 1 "Costas Fotakis”, FORTH’s bldg
IMBB Seminar
"Structural dynamics of Hsp90 in vitro and in cells"
Angeliki GIANNOULI
Assistant Professor of Biochemistry
Department of Chemistry, University of Crete
Jan 23, 2026 @ 13:00 - 14:00
Seminar Room 1 "Costas Fotakis”, FORTH’s bldg
Host: K. Kalantidis
Joint Seminar Series in Translational and Clinical Medicine UoC Medical School - IMBB-FORTH – UCRC
“Precision Medicine in Cardiovascular Diseases”
Dr Ioannis Anastasiou
MD, Cardiologist, Scientific associate of the University of Crete and the Cardiology Dpt of the University Hospital of Heraklion
Platform: Link
Jan 14, 2026 @ 15:00 - 16:00
Online
IMBB Seminar
"From High-Resolution Profiling to Drug Discovery: Learning New Biology from Patients and Humanized Models"
Nikos KOURTIS
Regeneron Pharmaceuticals,
References:
https://www.nature.com/articles/s43018-022-00391-0
www.regeneron.com
Dec 15, 2025 @ 13:00 - 14:00
Seminar Room 1 "Costas Fotakis”, FORTH’s bldg
Host: N. Tavernarakis
IMBB Colloquium
"From microbes to ecosystems: exploring the genomic capital of Crete island and its applications"
Savvas PARAGKAMIAN
Postdoctoral Researcher, Sarris Lab
Dec 12, 2025 @ 13:00 - 14:00
Seminar Room 1 "Costas Fotakis”, FORTH’s bldg
IMBB Seminar
"Region-specific transformations enable distributed computations of flexible decisions"
Dr. Joao Barbosa
Neuromodulation Institute & Neurospin, Paris
Dec 11, 2025 @ 13:00 - 14:00
Seminar Room 1 "Costas Fotakis”, FORTH’s bldg
Host: P. Poirazi





